Diagnostics and treatment of infractions

4.950,00 DKK

Participants

Short about the course
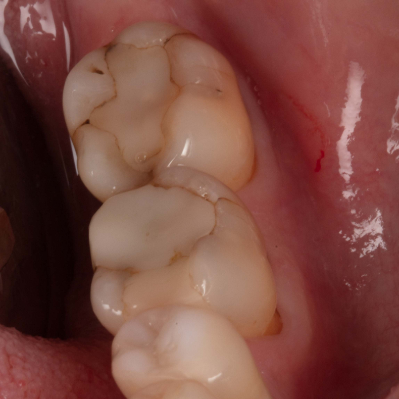
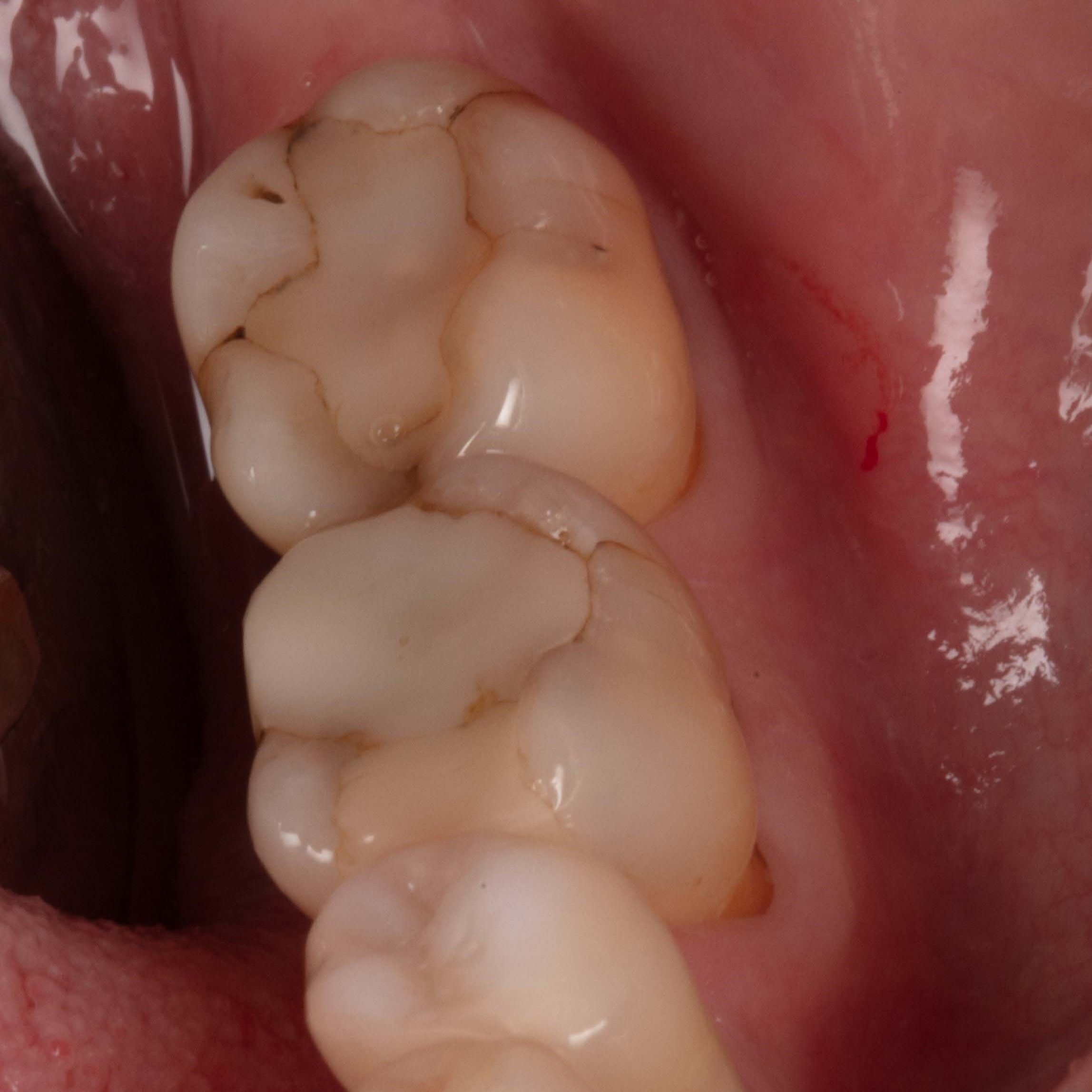
The course is very clinically oriented and richly illustrated with Søren Zedlitz Mikkelsen's own images and cases. It is developed based on image evaluation of his own work over the years. It also reviews the work that has not gone as expected with a critical evaluation of what has gone wrong. The focus is on theory and techniques that can make a difference in the daily work of ordinary dentists.


The course is designed for dentists, but it is obvious for dental hygienists to join, as previous participants have gone home with inspiration for aligning strategies for diagnostics, treatment, communication, as well as how to make predictable price estimates on infraction-affected teeth.

 

Practical info

The teacher 
Dentist Søren Zedlitz Mikkelsen is co-owner of TandlægeCentret Vestertorv and Tandlægerne Spenstrup and has 15 years of experience as a dentist.
He started teaching anatomy and physiology 20 years ago alongside his studies.
Søren's clinics work interdisciplinary with a holistic approach and based on a minimally invasive dental care philosophy.
This is also reflected in his courses, which are based on preserving as much of the natural tooth substance as possible.


Target group

The course is aimed at dentists, but can be very relevant for dental hygienists and other members of the treatment team who are involved in making price estimates and communicating with patients.


Time & Place 

We have chosen two course venues where both sound and visuals are of the highest quality—something that Søren Zedlitz Mikkelsen’s outstanding visual material truly deserves. Look forward to an evening where you can sit back in comfortable seating, enjoy the highest screen resolution, and experience Søren Zedlitz Mikkelsen’s clinical photographs and videos in exceptional quality.

 

Aarhus 
Thursday, October 1, 2026 at 4.30-9.00 PM 

Aarhus Bio
Skt. Knuds Torv 15 
8000 Aarhus C
 

Copenhagen 
Thursday, October 22, 2026 at 4.30-9.00 PM 

Palads
Axeltorv 9 
1609 København V


Course hours

Course certificates with 4 hours will be handed out.

Course price
Per participant - DKK 4,950 incl. VAT and catering. 



Søren Zedlitz Mikkelsen's courses are built around clinical photos, a limited amount of text on each slide and peppered with video sequences. This makes the course vivid and clinically relevant.

Topics covered 

  • Infractions, diagnostics and advice
  • What does the literature say and when can we rely on our own experience?
  • Simple system for classification.
  • Bite function screening. Get an overview of at-risk teeth! When should alarm bells ring?
  • When can an increase in vertical dimension be considered a preventive treatment, and what should clinicians pay particular attention to?
  • Root canal treatment - when is it a good idea?
  • Patient advice on infractions.
  • Plastic or ceramic treatment?
  • When is plastic not a good idea?
  • Ceramic treatment when plastic is not a good idea.
  • Gingiva control?
  • Isolation and drying. Get a better everyday life!
  • Preparation technique and strategy for covering.
  • Dies, Teflon tape and wedges.
  • Polymerization.
  • Technique for predictable build-up and occlusal adjustments without compromising aesthetics.

 

Terms and conditions 

If desired, a course can be canceled up to 5 weeks before at no cost. If canceled 2-5 weeks before, 50% of the course price will be refunded. If canceled less than 2 weeks before, we cannot refund the course fee as we are liable for costs at this time. 

However, the course place can be allocated to another participant free of charge. 

Any cancellations must be made via e-mail to info@dentalinstituttet.dk 

Customers who bought this product also bought

Courses